La querida animadora venezolana Erika De la Vega sorprendió a todos la mañana de este lunes al anunciar que estaba recuperándose de una intervención craneal por un tumor y su publicación se desbordó de mensajes de ánimo de todos sus seguidores.




En un conmovedor mensaje acompañado de fotos convaleciente, informa:
“Estos han sido mis últimos días.
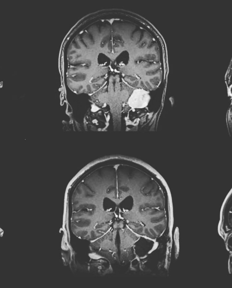
Hace unos meses haciendo un chequeo anual de mi cuerpo, me consiguieron a través de una resonancia magnética un visitante benigno en mi cabeza, que por su tamaño demostraba que llevaba mínimo una década creciendo cómodamente.
Esto quería decir que iba a seguir creciendo y quizás en unos años podía comprometer mi salud y mis funciones.
La única opción que tenía era sacárlo a través de una craneotomía.
Todo pasó muy rápido. Apenas supe el diagnóstico cuadré la cirugía y ocupé mis días lo que más pude para que la mente no me jugara en contra, para detener las búsquedas en Google y poder controlar mis nervios y los apocalipsis del futuro.
Ahora estoy en mi casa recuperándome, suave, reflexionando, aceptando y sobre todo, agradeciendo por este cupón de vida que me regalaron.
Recalculando y viendo como se viven las segundas oportunidades.
A todos los que reciben diagnósticos inesperados y están lidiando con ellos, los abrazo. Es un estado de conmoción difícil de explicar. A todos los que nos cuidan, los abrazo más fuerte.
Estoy bien. Mi recuperación es veloz y el agradecimiento infinito 🤍
No son las mejores fotos pero esto también es la vida.
Seguimos!”







Deja una respuesta