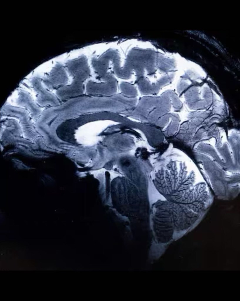
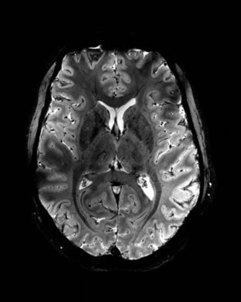
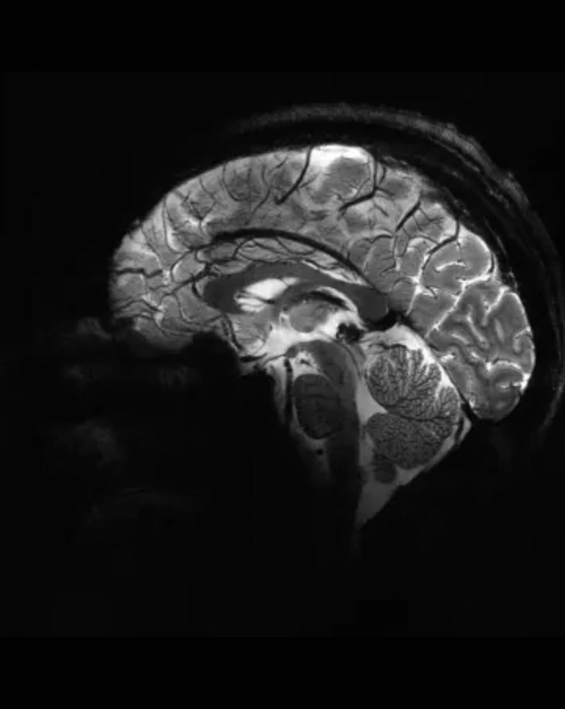
En un estreno mundial, los investigadores de la Comisión de Energía Atómica (CEA) de Francia revelaron este martes una serie de imágenes ‘in vivo’ del cerebro humano, adquiridas con la máquina de resonancia magnética más poderosa del mundo. La Iseult, que cuenta con un inigualable campo magnético de 11,7 teslas y fue construida en un esfuerzo de dos décadas, ha captado el cerebro vivo con una claridad sin precedentes.



Una impresionante resolución
Las más notables imágenes anatómicas del cerebro nunca antes obtenidas se tomaron en apenas cuatro minutos. Los expertos señalan que su resolución es impresionante para un lapso temporal de adquisición tan corto. Se logró una resolución en el plano de 0,2 mm y grosor de corte de 1 mm, lo que representa un volumen equivalente a unos pocos miles de neuronas.
En comparación, la misma calidad de imagen requeriría horas con los escáneres de resonancia magnética actualmente disponibles (de 1,5 o 3 teslas). Esto no es realista en la práctica, ya que los pacientes no se sentirían cómodos y cualquier movimiento haría que la imagen se vea «borrosa».
En comparación, la misma calidad de imagen requeriría horas con los escáneres de resonancia magnética actualmente disponibles (de 1,5 o 3 teslas). Esto no es realista en la práctica, ya que los pacientes no se sentirían cómodos y cualquier movimiento haría que la imagen se vea «borrosa»
Con información de Noticias 24 horas







Deja una respuesta